Введение
Первичная прогрессирующая афазия (далее – ППА) представляет собой нейродегенеративное расстройство, при котором наблюдается неуклонное прогрессирование речевых нарушений в течение двух и более лет, при относительной сохранности психических функций на ранних стадиях заболевания [1; 2]. Статистические данные о частоте встречаемости ППА на глобальном уровне отсутствуют. Информативным для данного исследования являются эпидемиологические показатели лобно-височной деменции (ЛВД) – расстройства, тесно связанного с появлением ППА. В российской популяции отсутствуют достоверные сведения о заболеваемости, распространенности лобно-височной деменции и частоте генетических вариантов, что, несомненно, затрудняет диагностику и раннее включение специалистов в процесс реабилитации столь редкого гетерогенного клинического синдрома. Распространенность ЛВД среди мирового населения составляет 2,7–15,0 на 100 тыс. чел., ~20–40 % пациентов с ЛВД имеют ППA [3]. Ежегодная заболеваемость ЛВД в Европе составляет 2,36 случая на 100 тыс. чел., при этом максимальный пик – 13,09 случая на 100 тыс. чел. – приходится на возраст 71 года [4]. Анализ литературных источников свидетельствует, что выживаемость при ЛВД составляет ~6–10 лет, в редких случаях достигает 12–15 лет, при этом не зависит ни от степени тяжести деменции, ни от возраста дебюта заболевания [5].
Природа синдрома ППА остается предметом многолетних дискуссий среди ведущих мировых ученых. Арнольд Пик, знаменитый чешский психиатр, в 1892 г. описал пациента с прогрессирующим расстройством речи, связанным с атрофией левой височной доли и не подходящим под классификации ранее изученных нозологических форм [6]. Американский невролог Марсель Месулам из медицинской школы Гарвардского университета в 1982 г. описал группу из 6 чел. с медленно прогрессирующим изолированным нарушением речи [7]. В своей статье «Медленно прогрессирующая афазия без генерализованной деменции» автор дал подробное описание прогрессирующей афазии, а также указал на возможность существования нескольких форм ППА. Впоследствии М. Месулам выделил три главных критерия, характеризующих ППА [7]:
− прогрессирующая афазия, возникшая раз, выражается постепенно усиливающимся искажением использования речи или понимания;
− расстройство речи является первоначальной и наиболее характерной особенностью, главным критерием ограничения повседневной жизни;
− заболевание признано нейродегенеративным.
В отечественной логопедии интерес к ППА также возник достаточно давно. Три случая ППА были изучены и описаны в ГУ НИИ неврологии РАМН в 2005 г. [8], однако такой диагноз по-прежнему ставится крайне редко, большинство случаев ошибочно объясняется хронической сосудистой патологией головного мозга. В последние годы более интенсивно оценивались конкретные реабилитационные подходы к лицам с ППА [9]. Например, было показано, что восстановительная работа по активизации поиска слов, проводимая логопедом, способствует значительному и длительному функциональному улучшению у пациентов на ранней стадии [10].
За счет своего прогрессирующего, непрерывного характера ППА в конечном итоге приводит к полному распаду речевой функции, значительному снижению социально-бытовой активности и качества жизни пациентов. Осложнения ППА связаны с появлением когнитивных, эмоциональных и поведенческих расстройств. ППА чаще всего является клиническим предвестником какого-либо нейродегенеративного заболевания: лобно-височной дегенерации, болезни Альцгеймера, кортико-базальной дегенерации и других заболеваний [11].
Несмотря на вышеуказанные сложности, специалистам необходимо стремиться к наиболее точной клинической и речевой диагностике ППА: чаще всего ППА манифестирует в позднем среднем возрасте (50–60 лет), что влечет разрушительные последствия в семейной жизни, профессиональной деятельности и социальной активности. С целью дифференциальной диагностики ППА и отграничения ее от сходных расстройств, международной группой ученых были разработаны строгие критерии, включающие и исключающие диагноз ППА. К критериям включения ППА отнесли следующие [12]:
1. Доминирующим, первичным и наиболее значимым клиническим симптомом является нарушение речи.
2. Нарушения речи постепенно прогрессируют и вторично приводят к нарушению качества повседневной жизни человека.
3. Нарушения речи являются ведущим клиническим симптомом в течение двух и более лет.
Критерии исключения ППА:
1. Нарушение речи сочетается с иными нервно-психическими расстройствами.
2. Одним из основных клинических симптомов является нарушение какого-либо вида памяти или зрительно-пространственных функций.
3. Одним из основных и наиболее выраженных клинических симптомов являются нарушения поведения.
В соответствии с общепринятыми диагностическими критериями (2011) выделяют следующие формы ППА: семантическая форма (без снижения беглости речи, англ. – fluent aphasia / semantic dementia – сППА), аграмматическая (со снижением беглости речи, англ. – non-fluent aphasia – аППА), логопеническая форма ППА (англ. – logopenic aphasia – лППА) [12]. В 2015 г. Хьюго Ботх, американский ученый и невролог, выделил неклассифицируемую (смешанную) форму ППА, не подходящую под установленные критерии диагностики ППА, имеющую признаки схожие с семантической и аграмматической формами [13]. Диагностические критерии четырех форм ППА представлены в табл. 1.
Согласно современным научным данным, ППА возникает в результате широкого спектра нейродегенеративных процессов, приводящих к атрофии различных областей мозга, отвечающих за речь [14]. Аграмматическая и семантическая формы ППА чаще всего относятся к ЛВД. Причинами ЛВД являются таупатия, накопление в нейронах тау-протеина, или TDP-43-патия, накопление белка TDP-43. Логопеническая форма ППА рассматривается как атипичная форма болезни Альцгеймера (БА), обусловленная накоплением β-амилоида и тау-протеина в нейронах [14].
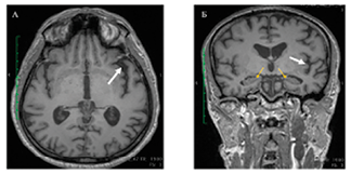
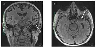
ППА диагностируется по результатам неврологического, нейропсихологического и логопедического обследования. Подтверждение клинического диагноза обеспечивается магнитно-резонансной томографией (МРТ) и позитронно-эмиссионной томографией в сочетании с компьютерной томографией (ПЭТ-КТ) головного мозга. Данные МРТ позволяют определить атрофические изменения в различных областях доминантного полушария (табл. 2).
Таблица 1
Диагностические критерии форм ППА
|
Диагностические критерии |
|
Семантическая форма ППА без снижения беглости речи (сППА) |
|
A. Обязательно наличие двух основных признаков: 1) нарушение называния объектов; 2) снижение понимания значений слов. Б. Обязательно наличие трех вспомогательных признаков: 1) нарушение общих знаний об объектах, особенно о малознакомых предметах; 2) дислексия или дисграфия; 3) повторение сохранно; 4) моторные аспекты речи и грамматика сохранны. |
|
Аграмматическая форма ППА со снижением беглости речи (аППА) |
|
A. Наличие одного из следующих основных критериев: 1) аграмматизм в речи; 2) запинающаяся речь с непоследовательными фонетическими ошибками и искажениями (апраксия); 3) нарушения просодики. Б. Наличие двух из трех вспомогательных критериев: 1) нарушение понимания синтаксически сложных (неканонических) предложений; 2) узкое понимание значений слов; 3) упрощенное знание об объектах. |
|
Логопеническая форма ППА (лППА) |
|
A. Должны присутствовать два следующих основных признака: 1) нарушение поиска слов в спонтанной речи и при назывании; 2) нарушение повторения фраз и предложений. Б. Должны определяться три из следующих вспомогательных критериев 1) фонетические ошибки (фонетические парафазии) в спонтанной речи или при назывании; 2) свободное понимание значений слов и знание объектов; 3) сохранность просодической стороны речи; 4) отсутствие истинного аграмматизма. |
|
Смешанная форма ППА |
|
A. Обязательно наличие двух критериев: 1) аграмматизм в речи; 2) нарушение понимания значений слов. |
Источник: составлено авторами на основе [2].
Таблица 2
Клинические варианты ППА
|
Вариант ППА |
Диагностические признаки |
Нейровизуализационные признаки |
Пример МРТ |
|
аППА |
Наличие аграмматизма. Нарушение беглости речи. Оральная апраксия |
Атрофические изменения в нижней лобной извилине (зона Брока) и островковой коры левого полушария |
|
|
лППА |
Трудности актуализации – подбора и называния слов. Нарушение повторной речи. Сужение объема слухоречевой памяти |
Атрофические изменения в височной и теменной долях доминантного полушария |
|
|
сППА |
Нарушение номинативной функции речи. Нарушение понимания семантики слов |
Атрофические изменения в области левой височной доли левого полушария |
|
|
смeшанная ППА |
Сочетание признаков аППА и лППА. |
||
Источник: составлено авторами на основе [11; 14; 15] и полученных данных в ходе исследования.
Научные данные, раскрывающие симптоматику и проявление различных форм ППА, показывают, что в структуре речевого дефекта у пациентов с ППА существенное место занимают нарушения активного и пассивного словаря, в том числе глагольной лексики [16].
Общеизвестно, что глаголы являются ядром синтаксических конструкций, указывая на действия и состояния. Именно глаголы обеспечивают выражение событийности, передают динамику явлений. Соответственно, нарушения понимания и употребления глагольной лексики у лиц с первичной прогрессирующей афазией значительно ограничивают их коммуникативные возможности. Коррекция и восстановление глагольной лексики у пациентов с ППА необходимы для правильного построения речевых высказываний, а также для полноценного понимания инструкций, указаний и обращенной речи в целом.
На сегодняшний день увеличивается число пациентов с названным речевым нарушением, активно нуждающихся в помощи логопедов медицинских учреждений. В то же время вопросы диагностики и реабилитации речи у пациентов с ППА в отечественной логопедии еще недостаточно изучены. Специальные исследования, посвященные проблеме глагольной лексики у пациентов с ППА, практически отсутствуют. Сложности, связанные со спецификой ППА и ее диагностикой, затрудняют проведение когортных и рандомизированных исследований. Таким образом, актуальность научной работы заключается в необходимости восполнения научных сведений по указанной проблеме. Тщательное и детальное обследование речи, в том числе оценка состояния глагольной лексики, является в последующем залогом успешной коррекционной работы с пациентами.
Цель исследования – выявление особенностей понимания и употребления глагольной лексики у пациентов, страдающих первичной прогрессирующей афазией.
Материалы и методы исследования
В период с 2024 по 2025 г. на базе ФГБНУ «Российский центр неврологии и нейронаук» (ФГБНУ РЦНН), в 5-м неврологическом отделении с молекулярно-генетической лабораторией на стационарном лечении находились 15 пациентов с первичной прогрессирующей афазией, из которых в констатирующее исследование были включены 10 согласно следующим критериям: наличие речевого нарушения, являющегося доминирующим клиническим симптомом и постепенно прогрессирующим более двух лет; наличие атрофических изменений преимущественно левого полушария, подтвержденных данными МРТ; отсутствие объемных образований, постинсультных изменений, выраженных когнитивных и поведенческих нарушений или иных неврологических заболеваний. Средний возраст обследуемых составил 68 лет (возрастной диапазон 56–78 лет), из них 9 женщин и 1 мужчина, исключительно с правосторонней латерализацией. По уровню образования пациенты распределились следующим образом: 9 лиц имели высшее, 1 – среднее образование. Все пациенты подписали информированное добровольное согласие на участие в исследовании. Исходные характеристики участников исследования приведены в табл. 3.
Как видно из табл. 3, речевые нарушения, соответствующие аППА, имели 3 пациента, 2 пациента имели лППА, 2 – сППА, и 3 пациента – смешанную форму ППА. Все обследуемые предъявляли жалобы на нарастающее нарушение речи – трудности подбора слов, снижение речевой активности в течение минимум двух лет. Средняя длительность заболевания составила 3,5 года. Дополнительно к афатическим расстройствам у двух пациентов была выявлена дизартрия, у одного пациента – дизартрия в сочетании с дисфагией и дисфонией. По данным МРТ у всех пациентов отмечались нейровизуализационные признаки атрофических процессов в различных участках головного мозга.
Констатирующее исследование состояло из трех этапов.
I. Изучение анамнеза пациентов. Первый этап, включающий изучение медицинской документации, выписок из истории болезни пациентов проводился с целью отбора участников для экспериментального исследования.
II. Комплексная оценка речевого статуса. На данном этапе основная цель была связана с выявлением состояния функционального базиса речи, структуры и степени выраженности речевого дефекта (оценка импрессивной и экспрессивной речи; оценка письменной речи) у пациентов с ППА.
III. Оценка состояния глагольной лексики. Последний этап проводился с целью углубленного изучения нарушений понимания и употребления глагольной лексики в структуре речевого дефекта при ППА.
В рамках проведения констатирующего эксперимента были использованы следующие методики логопедической диагностики:
1. Методика оценки речи при афазии «Количественная оценка речи» (КОР) авторов Л.С. Цветковой, Т.В. Ахутиной, Н.М. Пылаевой [17, с. 15] – для оценки импрессивной и экспрессивной речи, в том числе повторной, автоматизированной речи, чтения и письма.
2. Адденбрукская когнитивная шкала – модифицированная (Addenbrooke’s Cognitive Examination, revised ACE-R) – для оценки речевой активности [18].
3. Адаптированная методика оценки лексико-грамматического строя речи (на примере глагольной лексики и словоизменения глаголов) Т.А. Матросовой [19, с. 10].
4. Шкала тяжести симптомов ППА (Progressive Aphasia Severity Scale) [20].
5. Европейский опросник оценки качества жизни (EQ-5D-3L) [21].
Таблица 3
Клиническая характеристика участников эксперимента
|
Пациент (№) |
Возраст (лет) |
Пол |
Дебют (лет) |
Длительность (лет) |
Вариант ППА |
Степень выраженности речевого нарушения |
|
П1 |
66 |
Ж |
59 |
7 |
аППА |
грубая |
|
П2 |
70 |
Ж |
67 |
3 |
смППА |
умеренная |
|
П3 |
68 |
Ж |
66 |
2 |
смППА |
грубая |
|
П4 |
62 |
М |
59 |
3 |
смППА |
умеренная |
|
П5 |
61 |
Ж |
56 |
5 |
лППА |
умеренная |
|
П6 |
77 |
Ж |
74 |
3 |
сППА |
умеренная |
|
П7 |
68 |
Ж |
65 |
3 |
аППА |
умеренная |
|
П8 |
78 |
Ж |
70 |
8 |
аППА |
легкая |
|
П9 |
74 |
Ж |
72 |
2 |
сППА |
грубая |
|
П10 |
56 |
Ж |
53 |
3 |
лППА |
умеренная |
Источник: составлено авторами на основе полученных данных в ходе исследования.
Логопедическое обследование пациентов проводилось в индивидуальном порядке, с использованием речевого и наглядного материала.
Количественная оценка состояния и динамики восстановления речи авторов Л.С. Цветковой, Т.В. Ахутиной и Н.М. Пылаевой позволила оценить состояние импрессивной и экспрессивной речи у пациентов с афазией. Исследование импрессивной речи включало пробы на понимание значений слов, обозначающих предметы и действия, понимание фраз и инструкций. Изучение экспрессивной речи состояло из оценки диалога, называния предметов и действий, составления предложений и рассказа с наглядной опорой. Оценка письменной речи включала задания на чтение и понимание текста, письмо под диктовку и произвольное письмо). Подсчет баллов по методике позволил определить степень выраженности нарушения речи у пациента: 0–90 – очень грубая; 90–130 – грубая; 130–175 – средне-грубая; 175–220 – средняя; 220–260 – средне-легкая; 260 – легкая степень выраженности афазии.
Для обследования речевой активности пациентов с ППА авторы использовали разделы «Речь» и «Речевая активность» Адденбрукской шкалы, посвященной оценке когнитивных функций (ACE-R). Субшкала «Речевая активность» состояла из двух основных тестов на определение скорости вербальных ассоциаций (продуктивности называния слов в рамках предложенной инструкции в течение одной минуты):
1) тест на фонетически опосредованные ассоциации – пациенту предлагалось назвать максимальное количество слов, которые начинаются на любую букву (существительные, исключая имена и названия);
2) тест на семантически опосредованные ассоциации – пациенту предлагалось назвать максимальное количество слов на любую букву из одной категории (существительных – названий растений, животных и т.д.).
По количеству названных слов присваивалась балльная оценка с максимальным количеством баллов 7 в каждой категории (итого – 14).
Субшкала «Речь» включала в себя оценку понимания (как письменной, так и устной речи), называния, определения категорийной принадлежности понятий, проверку повторной речи, чтения и письма. Максимальное количество баллов по данной субшкале – 26.
Для оценки глагольного словаря у пациентов с ППА использовалась адаптированная методика обследования лексико-грамматического строя речи Т.А. Матросовой. Методика состояла из трех блоков заданий с прилагаемым картинным стимульным материалом.
Задания первого блока направлены на исследование понимания и употребления следующих групп глаголов: глаголов со значением эмоционального состояния, глаголов со значением движения, глаголов со значением предметных действий, глаголов-антонимов, глаголов-синонимов и глаголов, близких по лексическому значению.
Второй блок посвящен изучению сформированности навыков словоизменения и словообразования глаголов единственного и множественного числа настоящего времени, глаголов прошедшего времени по родам, глаголов первого и второго лица множественного числа, глаголов третьего лица единственного и множественного числа, приставочных глаголов, глаголов совершенного и несовершенного вида и возвратных глаголов.
Третий блок направлен на изучение сформированности навыка построения предложений (простых нераспространенных и простых распространенных).
Шкала тяжести симптомов ППА позволила в баллах (диапазон: 0–3 балла) оценить беглость, грамматическую и синтаксическую сторону речи и понимание пациентами слов и предложений.
Результаты исследования и их обсуждение
Результаты обследования пациентов по шкале КОР показали, что 2 пациента (20 %) имели грубую степень выраженности нарушения речи, 1 пациент – средне-грубую (10 %), 5 – среднюю (50 %), 1 – средне-легкую (10 %) и 1 пациент – легкую (10 %). У большинства пациентов наблюдалось большое количество ошибок при выполнении всех разделов методики (импрессивной, экспрессивной, письменной речи). Самое большое количество ошибок допускалось в номинативных пробах (называние малочастотных предметов и действий), при составлении предложений по сюжетным картинкам и в пробах на понимание сложных лексико-грамматических, инвертированных и предложных конструкций.
По результатам Адденбрукской шкалы большинство обследуемых показали низкий балл, у четырех пациентов отмечались практически минимальные показатели речевой активности (0–3 балла). В течение одной минуты обследуемые в среднем назвали 3 слова на заданную букву и 3–4 слова из одной лексико-семантической категории. Такой результат свидетельствует о выраженной слабости вербальных ассоциаций у пациентов, страдающих ППА.
Балльная оценка тяжести симптомов ППА показала следующее: легкая степень (0,5 балла) нарушения речи – 1 обследуемый (10 %), умеренная (1,0 балл) – 3 обследуемых (30 %), выраженная (2,0 балла) – 4 обследуемых (40 %), тяжелая степень (3,0 балла) нарушения речи – 2 обследуемых (20 %).
Показатели по субшкале «Речь» были также снижены у всех обследуемых. Отмечались ошибки при назывании предметов в виде вербальных парафазий (употребления обобщающих понятий: крокодил – «зверек», замен слов, входящих в одно семантическое поле: крокодил – «верблюд, жираф», вербальных замен по признаку функционального назначения: арфа – «флейта»), ошибки на письме и при чтении (литеральные парафазии, пропуски букв, персеверации, элементы угадывающего чтения).
При обследовании владения глаголами по адаптированной диагностической методике выявлено значительное нарушение глагольной лексики у пациентов с ППА. По результатам первого блока, направленного на исследование понимания и употребления лексических значений глаголов, наибольшее количество ошибочных ответов выявлено при выполнении заданий на употребление глаголов, близких по лексическому значению, и глаголов-синонимов.
В импрессивной речи у обследуемых отмечались небольшие затруднения в понимании и дифференциации глаголов, близких по лексическому значению (шьет – вяжет, едет –катится), глаголов, обозначающих оттенки эмоциональных состояний (улыбается – смеется, грустит – плачет).
В экспрессивной речи наблюдались следующие ошибки:
− вербальные парафазии – замены глаголов другой частью речи (грустит – «грустно»), замены глаголов конкретного значения глаголами диффузного значения или семантически более простыми (поднимается – «идет»);
− литеральные парафазии (преимущественно у пациентов с аППА) (раскрашивает – «раскрасивает», кушает – «кузает», стирает – «стидает»), нарушения звукослоговой структуры глаголов – пропуски, вставки слогов и звуков, перестановки (плачет – «платчет», ест – «сест», опускает – «опустакивает», поднимает – «поднимивает»);
− трудности при подборе глаголов-синонимов (длительные поиски нужного глагола, отказ от выполнения);
− взаимозамена глаголов, близких по лексическому значению (красит – раскрашивает, жарит – варит, режет – чистит);
− замены глагола словосочетанием (стоит – «в углу стоит», несет – «тяжесть несет», чистит – «чистит ножом морковку»).
Также важно отметить, что произносительная и слоговая сложность глаголов влияла на их актуализацию у обследуемых с аППА. Пациенты с данной формой легче актуализировали глаголы, простые по слоговой структуре (пьет, идет) по сравнению с глаголами сложной слоговой структуры (расчесывается, завязывает, раскрашивает и др.), что объясняется наличием у них артикуляционных трудностей, в частности орально-артикуляционной апраксии.
По результатам второго блока у пациентов наблюдались сложности дифференциации и употребления различных форм глаголов, что наиболее ярко отмечалось в экспрессивной речи. В импрессивной речи у пациентов наблюдались трудности дифференциации приставочных глаголов (залетает – подлетает, вылетает – улетает), возвратных глаголов (катает – катается, одевает – одевается), форм мужского, женского и среднего рода глаголов прошедшего времени (сломался – сломалась – сломалось). Самым сложным для пациентов с ППА оказалось задание на понимание и дифференциацию приставочных глаголов. Большое количество ошибок также было допущено при выполнении заданий с возвратными глаголами и глаголами совершенного и несовершенного вида. В экспрессивной речи у обследуемых отмечались следующие виды ошибок:
− вербальные парафазии: замены глаголов семантически более простыми (лепит – «делает», застегивает – «надевает»), замены глаголов другой частью речи (веселится – «веселый», ест – «обед»), парафазии на основе семантического сходства (сломалась (машина) – «испортилась»);
− замены глагола словосочетанием (красит – «делает краской», сажает – «в землю спускает»);
− замены приставочных глаголов бесприставочными (заезжает – «едет», выливает – «льет», спускается – «идет вниз», объезжает – «едет около»);
− замены совершенного вида формами несовершенного, в форме прошедшего времени (слепил – «лепил», покрасил – «красил», поднял – «поднимал»),
− замены возвратной формы глагола невозвратной (сломался – «сломал»);
− аграмматизмы (переливает – «переливают», бежит – «бегут, бегит»), неправильное употребление приставок (покрасил – «накрасил»);
− литеральные парафазии (бежит – «бекит», переходит – «пересодит») и нарушения звукослоговой структуры глаголов: перестановки, пропуски, вставки слогов и звуков (переливает – «пелиревает», выезжает – «выжает») и даже контаминации (расстегивает (пуговицу) – «распугивает»);
− длительные паузы и поиски глаголов;
− отказы от выполнения задания.
При составлении предложений по картинкам (III блок) испытывали значительные трудности в подборе предикативной основы предложений, которые проявлялись в виде следующих ошибок:
− пропуски глаголов («Лодка … по течению.»);
− вербальные парафазии (Лодка плывет. – «Лодка едет. Лодка идет»), замены низкочастотных глаголов более частотными (Тракторист пашет поле – «Тракторист работает»);
− нарушения порядка слов в предложении;
− аграмматизмы: ошибки согласования («Внучка несут очки бабушке»), управления («Мужчина на холм сидел и ловит рыбы»), неправильное употребление форм глаголов («Мальчик перелазывает через забор. Дети вокруг елки кружиться. Кошка готовиться ловят мышку»);
− упрощения структуры предложения (Грузовая машина переезжает через мост. – «Машина едет»);
− длительные паузы для подбора слов;
− единичные отказы от выполнения задания.
Полученные результаты свидетельствуют о нарушении у пациентов с ППА навыков внутреннего программирования речевых высказываний. Характерные для ППА речевая аспонтанность, снижение беглости речи и речевой инициативы дополнительно усугубляли трудности выполнения диагностических заданий пациентами – наблюдались длительные паузы и отказы от выполнения заданий.
Сравнение результатов выполнения трех блоков заданий продемонстрировало более высокий уровень владения пациентами глагольной лексикой в импрессивной речи по сравнению с экспрессивной (рис. 1). Исключение составили пациенты с семантическим вариантом ППА, у которых отмечался достаточно низкий уровень состояния импрессивной речи.
Как показали результаты опросника, ППА значительно повлияла на качество жизни пациентов, принявших участие в исследовании (рис. 2).
Пациенты отмечали сложности в привычной повседневной и профессиональной деятельности, умеренные проявления тревоги и депрессии, дискомфорта. Из 10 обследуемых 5 ушли с работы из-за трудностей в речевом общении и самовыражении, сложностей поддержания беседы. Текущее состояние здоровья по визуальной шкале пациенты субъективно оценили в среднем на 46 баллов (из максимальных 100 баллов).
Результаты выполнения трех блоков заданий позволяют судить о выраженных нарушениях глагольной лексики у пациентов с ППА: 7 пациентов (70 %) показали средний уровень, 2 пациента – низкий (20 %), 1 пациент – относительно высокий уровень владения глагольной лексикой (10 %).

Рис. 1. Результаты исследования понимания и употребления лексических значений глаголов у пациентов с ППА Источник: составлено авторами по результатам данного исследования

Рис. 2. Результаты исследования качества жизни у пациентов с ППА по опроснику EQ-5D-3L Источник: составлено авторами по результатам данного исследования
Наиболее выраженные затруднения в понимании лексических и грамматических значений глаголов испытывали пациенты с сППА. В экспрессивной речи у всех обследуемых отмечались трудности актуализации различных групп глаголов, преимущественное употребление высокочастотных глаголов с широким диффузным значением. Обследуемые допускали ошибки при подборе и дифференциации глаголов с близким лексическим значением, приставочных, глаголов-синонимов, глаголов совершенного и несовершенного вида, возвратных глаголов. Наблюдались множественные вербальные парафазии, замены глаголов словосочетаниями, аграмматизмы. Синтагматические и парадигматические связи глаголов оказались у пациентов с ППА грубо нарушенными. У пациентов с лППА отмечалось самое большое количество пауз, обусловленных поиском нужной лексемы.
Выявленные нарушения речи, в частности глагольной лексики, отрицательно влияют на повседневную и профессиональную деятельность и ухудшают качество жизни пациентов. Все вышеизложенное позволяет сделать вывод о необходимости оказания специализированной помощи пациентам с ППА, прежде всего логопедической. Данный контингент лиц с ППА нуждается в персонифицированной коррекционной работе для улучшения речевых и коммуникативных навыков. Речевая реабилитация должна включать коррекцию всех нарушенных звеньев речи и в обязательном порядке работу над глаголами как организующим центром предложения.
Учитывая полученные в ходе исследования результаты, авторы считают целесообразным строить коррекционную работу по преодолению нарушений глагольной лексики по следующим направлениям:
1) актуализация и расширение пассивного глагольного словаря;
2) восстановление активного глагольного словаря;
3) преодоление аграмматизмов;
4) работа над фразовой речью.
Цель коррекционной работы – эффективное общение, поскольку ППА – это неуклонно прогрессирующее расстройство. Ранняя диагностика и лечение, составление конкретного плана речевой реабилитации, обучение членов семьи и долгосрочное планирование – все это важнейшие аспекты профессионального логопедического воздействия. Медицинский логопед на современном этапе обладает уникальной компетенцией в оценке влияния речевого нарушения на коммуникацию, определении приоритетов пациента и составлении плана коррекции на основе компенсаторных методов с использованием домашней программы (домашняя программа по активизации глагольной лексики и тактика общения с подопечным должны меняться по мере того, как меняется его жизнь) для максимально длительного сохранения способностей. Остановить прогрессирование ППА невозможно, но логопед в составе квалифицированной мультидисциплинарной команды может помочь пациентам и их семьям приспособиться к новым условиям, компенсировать нарушения и сохранить максимально возможный уровень функционирования и качества жизни.
Особенностью работы с пациентами данной группы является ограниченная медикаментозная терапия, в связи с чем логопед может планировать программу речевой реабилитации, полагаясь на свои знания, нейропластичность головного мозга пациентов, их речевой дефицит и мотивированное отношение к восстановительному процессу как самого пациента, так и его родственников.
Практическая значимость исследования заключается в следующем: предлагаемые в работе методика обследования и разработанные направления коррекционной работы по преодолению нарушений глагольной лексики могут быть использованы в системе логопедической помощи пациентам с первичной прогрессирующей афазией.
Заключение
Проблема первичной прогрессирующей афазии является в настоящее время достаточно актуальной. Тем не менее вопросы диагностики и коррекции нарушений речи в аспекте глагольной лексики, при первичной прогрессирующей афазии являются практически неизученными. Пациенты с ППА испытывают значительные трудности актуализации глаголов, сложности словообразования, словоизменения грамматических форм глаголов и подбора предикативной основы предложения.
Перспективы дальнейшего исследования авторы видят в детализированном изучении данного вопроса, описании различных форм первичной прогрессирующей афазии, а также овладении дифференцированным подходом к проведению комплексной реабилитации взрослых пациентов с нейродегенеративными заболеваниями. Больные с ППА остро нуждаются в речевой реабилитации, независимо от длительности и формы заболевания. Учитывая, что на современном этапе не разработано базисное медикаментозное лечение лобно-височной деменции, ранняя диагностика и рациональная речевая реабилитация наиболее дезадаптирующих проявлений нейродегенеративного заболевания способны улучшить оптимальное качество жизни пациентов и их родственников. Предложенные авторами в рамках исследования диагностический блок и направления восстановительной работы будут способствовать повышению эффективности коррекционного воздействия, субъективной уверенности в общении и ресоциализации лиц с ППА.
Конфликт интересов
Библиографическая ссылка
Бердникович Е.С., Малич Т., Матросова Т.А. НАРУШЕНИЕ ГЛАГОЛЬНОЙ ЛЕКСИКИ У ЛИЦ С ПЕРВИЧНОЙ ПРОГРЕССИРУЮЩЕЙ АФАЗИЕЙ // Современные наукоемкие технологии. 2025. № 11. С. 165-175;URL: https://top-technologies.ru/ru/article/view?id=40581 (дата обращения: 30.04.2026).
DOI: https://doi.org/10.17513/snt.40581






